- The use of PRP (Platelets Rich Plasma) to increase success rate in IVF improve endometrium and in premature ovarian failure
- Assisted Reproductive Technology(ART) - In Vitro Fertilization - I.V.F , Intracytoplasmic Sperm Injection - ICSI and Intrauterine insemination (IUI)
- In Vitro Fertilization - I.V.F
- Intracytoplasmic Sperm Injection - Indications - Techniques and Applications - ICSI
- IVF Related Procedures - Cryopreservation - Embryo Freezing - Ovarian hyper stimulation syndrome - OHSS
- Intra Uterine Insemination, Success Rates - Risks - Uses - IUI
- Success Rates of IVF - ICSI - TESA - TESE - Success Rates IUI
- Intracytoplasmic Morphologically Selected Sperm Injection - IMSI. Recent IVF technology and how it improves ICSI results
- Embryo Glue - Increasing IVF Success - Recent IVF technology
- Assisted Hatching - IVF Assisted Embryo Hatching
- Blastocyst Culture - Extended culture up to the blastocyst stage Fifth Day Embryo Transfer
- IVF, ICSI Failure - Treating Failed In Vitro Fertilization - what is IVF Failure
- Preimplantation Genetic Diagnosis - Overview, Indications and Conditions, Process - Pre-implantation diagnosis by embryo biopsy
- IVF - In Vitro Fertilization Frequently Asked Questions
- Fertilized Oocytes and Embryos Photos
- IVF Laboratory Tour - Different procedures done in the IVF Laboratory
- Oocyte Maturation and Development - Oocytes at different stages - Sperm photos
- physiological ICSI - Physiological Selection of sperm for ICSI (PICSI)
- Microsurgical Sperm Retrieval from the Testicle - Microsurgical Testicular Sperm Extraction (Micro-TESE)
- The ART of In Vitro Fertilization - The A.R.T. of Making Babies - hope in the hearts of couples who suffer from infertility
- How to increase fertility for Men and Women for natural conception and IVF - increase IVF success rates
- Sex selection Before Pregnancy - How to get pregnant with a boy or girl - Gender Selection - Choosing the Sex of Your Child
- Bed Rest After Embryo Transfer Beneficial or Harmful
- Microfluidic Innovation for sperm sorting (MFSSI)
- Oocyte cryopreservation (freezing Oocytes)
- ROSI (round spermatid injection)
- Electrical activation of the Oocytes
- Methods to improve the uterine lining before embryo transfer
- Infertility - Inability to conceive - Infertility Guide - Reproduction Guide | Guide to Getting Pregnant
- Fertilization - Fertility Potential - how to become fertile
- Causes of Infertility in Women - female factor in Infertility
- Causes of Infertility in Men - Male factors in Infertility
- Diagnosis of Infertility in Women - Diagnosis of female infertility
- Diagnosis of Infertility in Men - Diagnosis of male infertility
- Treatment of infertility - Treatment of female infertility - Treatment of Male infertility
- How to increase fertility for Men and Women for natural conception and IVF - increase IVF success rates
- Smoking and infertility - Smoking and fertility - Stopping Smoking increases Your Fertility
- Varicocele Effect on Infertility and its Management
- Natural Fertility Boosters Herbal Supplements for Infertility, Foods That Improve Fertility
- Pelvic adhesions - Pelvic Adhesions And Infertility
- Stress and Infertility - How does stress affect fertility
- Polycystic Ovarian Syndrome Symptoms - Causes, Diagnosis and Treatment - PCOS
- PCO Patients FAQ - Answers to frequently asked questions about polycystic ovary syndrome
- Infertility Frequently Asked Questions - Answers to Questions about Infertility and its Treatment
- Present and futuristic developments in fertility treatment
- Frequently Asked Questions
- Weird Factors That Could Affect Your Fertility
- Sleep Correlation with Male Infertility
- Male Hypogonadotropic hypogonadism
- Genetic causes of male infertility
- Ovarian cysts Definition, Types, Signs and symptoms - Causes of Ovarian Cysts, Complications, Diagnoses, prevention and Treatment options
- Sex selection Before Pregnancy - How to get pregnant with a boy or girl - Gender Selection - Choosing the Sex of Your Child
- Anemia and its relation to fertility, Blood type and its effect on female fertility
- Premature ovarian Insufficiency (failure)
- How to get pregnant with twins
- Ovarian reserve
- The Impact of Infertility on the Relationship Between Spouses
- Sclerosing therapy for Endometriomas
- The Impact of Obesity on Fertility
- Pregnancy Guide
- Pregnancy Month by Month
- First Month Pregnancy - 1 month pregnant
- Second Month Pregnancy - 2 months pregnant
- Third Month Pregnancy - 3 months pregnant
- Fourth-month-pregnancy - 4 months pregnant
- Fifth Month Pregnancy - 5 months pregnant
- Sixth Month Pregnancy - 6 months pregnant
- Seventh Month Pregnancy - 7 months pregnant
- Eighth Month Pregnancy - 8 months pregnant
- Ninth Month Pregnancy - 9 months pregnant
- Advice for Pregnant Women - Tips For Pregnant Women
- Heartburn during pregnancy
- Sex selection Before Pregnancy - How to get pregnant with a boy or girl - Gender Selection - Choosing the Sex of Your Child
- Gestational Diabetes (Diabetes During Pregnancy)
- Cerebral Palsy Causes Classification and Treatment
- Cord blood,Umbilical Cord blood Collection
- Ectopic Pregnancy
- Contraception - Different Birth Controls
- Piles - Haemorrhoids in Pregnancy
- Causes of Recurrent Miscarriage
- Constipation During Pregnancy
- Sex during pregnancy
- Anemia in pregnancy
- Pregnancy Exercises
- Pregnancy After 35
- 7 Most Common Toxins During Pregnancy that Affect your Childs Health and How To Avoid Them
- Anterior Placenta During Pregnancy - Everything You Need to Know
- Oral Health Care During Pregnancy - Dr N Layyous
- Post Pregnancy Diet
- Molar Pregnancy
- 5 Tasty breakfast recipes that will quash your pregnancy blues detectable cravings every day
- Preterm labor
- Vision changes during pregnancy
- 7 Skin Care Tips to Follow During Pregnancy
- Systemic lupus erythematosus (SLE) In Pregnancy
- 5 Ways To Cope Up With Back Pain During Pregnancy
- Pregnant Women Nutrition
- Corona Virus and Pregnancy
- Intra-uterine contraceptive devices (IUD)
- Interesting cases
- Cats and pregnancy
- Pregnancy and Amniocentesis
- Consanguineous marriage
- External cephalic version ECV
- Pregnancy after a miscarriage
- Obesity and pregnancy
- Nausea and vomiting during pregnancy or hyperemesis gravidarum
- Steroids for fetal lung maturity
- Natural birth after cesarean section in the previous pregnancy
- Cervical stitch insertion for prevention of preterm birth and second trimester miscarriage
- Smoking and pregnancy
- Instrumental delivery (vacuum and forceps)
- Decreased fetal movements..
- Stress during pregnancy
- Breast cancer in pregnancy
- High bile salts during pregnancy- Obstetric Cholestasis
- Examination of the fetal genetic material in the mother's blood during pregnancy (cell free fetal DNA testing)
- Numb hands during pregnancy
- Thalassemia and pregnancy
- Fasting and Pregnancy
- Pre-conception care
- Atypical Antibodies, Rh factor, and Anti-D injection
- Fetal movement
- Ovarian Cysts During Pregnancy
- Fetal growth restriction during pregnancy
- Fetal death in the third trimester of pregnancy
- Oligohydramnios
- Sleeping problems during pregnancy
- Cardiac disease in pregnancy
- What to avoid during pregnancy
- Kidney Problems During Pregnancy
- Childbirth - Ways to relief pain during childbirth
- Preparations For Delivery
- Instructions after delivery
- Postnatal Exercises - Exercises after delivery
- Newborn characteristics
- Nursing Your Baby - Newborn Care
- Stages of infant development - Baby Development Stages
- Epidural Analgesia
- 5 Science-Backed Up Benefits Of Breastfeeding Over Formula Feeding
- Plan for Perfect Babys Feeding Schedule
- Depression in Women and Postpartum Depression
- Postpartum hemorrhage (prevention and treatment)
- Genital (pubic) Care After an Episiotomy
- Gynecological Disorders and Diseases
- Female Reproductive System
- Male Reproductive System
- Links to Various Articles in Gynaecology and Obstetrics
- Urinary Incontinence
- Ovarian cysts Definition, Types, Signs and symptoms - Causes of Ovarian Cysts, Complications, Diagnoses, prevention and Treatment options
- Causes for loss of female libido and ways to make it better
- Endometriosis Symptoms, Causes, Complications, Treatments, and Prognosis
- Uterine Fibroids, types, clinical features, Causes, Diagnosis, treatment and management options
- Intra-uterine contraceptive devices (IUD)
- Mullerian Ducts Anomalies - Uterine Abnormalities - congenital abnormalities of female genital tract
- Menopause - Hormone Replacement Therapy (hrt)
- Cloning Humans Myth or Fact Options and Applications
- Hysterectomy – Indications, Procedures and complications - Surgical Removal of the Uterus or womb
- Labiaplasty - Plastic Surgery of the Female Genital Organs - pelvic repair
- Weight Loss Supplements for Women
- Genital Area Hygiene - Vulvar and Vaginal Hygiene
- Diagnosis and Prevention of Cervical Cancer
- The Vagina - Vaginal Discharge - Vaginal infection
- Breast enlargement - Breast Augmentation
- Amplification of the G spot - augmentation of G spot
- Questions Related to sexual Topics
- Contraception
- PCO Patients FAQ - Answers to frequently asked questions about polycystic ovary syndrome
- What you should do before and after surgery
- Premenstrual syndrome (PMS)
- Videos about the Reproductive system
- Plasma injection for urinary incontinence
- Postmenopausal Bleeding
- Pelvic inflammatory disease (PID)
- Sexual attraction and attractiveness to others
- Chronic pelvic pain
- Lightening Dark Skin around Pubic Area
- Wound Care After Surgery
- 6 Wellness Things Women Over 40 should be Wary of
- Rare cases in gynecology | Dr Najeeb Layyous
- Girls' puberty
- Infantile/hypoplastic uterus
- Dysmenorrhea. Causes and ways of treatment
- Increased Endometrial Thickness
- Combating Weight Gain During Menopause
- Natural Ways to Treat Hormone Deficiency Symptoms During Menopause
- Recurrent Urinary Tract Infections
- Vaginal pH and its relationship to reproductive health
- Sclerosing therapy for Endometriomas
- Beneficial Vaginal Bacteria
- When to see a gynecologist
- Myths and facts about vaginal hygiene
- Fetal Face Ultrasound Photos
- 3D Fetal Profile Ultrasound Scan Photos
- Face Photos Before and After Delivery
- Fetal Parts Ultrasound Scan Photos
- 3D Fetal Limbs Ultrasound Scan Photos
- First Trimester Ultrasound Photos
- Fetal Behavior Ultrasound Photos
- Multiple Pregnancy Ultrasound Photos
- Second Trimester Ultrasound Photos
- Fetal Skeleton Ultrasound Photos
- The Clinical Advantages of 3D and 4D Ultrasound
- Questions Related To Four Dimensional Ultrasound
- Definition and Features of Four Dimensional Ultrasound
- Uses of 4D Ultrasound scan
- A short History of the development of Ultrasound in Obstetrics and Gynecology Dr. Joseph Woo
- Fetal behavior during pregnancy
- Start Your Baby's Photo Album
- 4D Ultrasound Scan Fetal Video Clips
- Hysteroscopy Video clips
- Laparoscopy Video clips
- Pregnancy Video clips
- Jordan Video clips
- The construction of the Website
- The Internet For the Medical Doctor
- Dr. Najeeb Layyous interview with Jordan TV
- Dr. Najeeb Layyous Interview with Qatar TV
- Videos about the Reproductive system
- IVF and ICSI Photos
- Hysteroscopy Photos
- Laparoscopy Photos 1
- Laparoscopy Photos 2
- Laparoscopy Photos 3
- Laparoscopy Photos 4
- Fetal Face Ultrasound Photos
- 3D Fetal Profile Ultrasound Scan Photos
- Fetal Parts Ultrasound Scan Photos
- 3D Fetal Limbs Ultrasound Scan Photos
- First Trimester Ultrasound Photos
- Fetal Behavior Ultrasound Photos
- Multiple Pregnancy Ultrasound Photos
- Second Trimester Ultrasound Photos
- Fetal Skeleton Ultrasound Photos
- Pregnancy Ultrasound Photos For Obstetricians
- Jordan University
- Jordan Hospitals
- Tourist places in Jordan
- Travel Agencies
- Jordan Facts & Figures
- Museums and Galleries in Jordan
- Emergency Calls in Jordan
- Airlines Offices in Jordan
- Diplomatic Missions in Jordan
- International Dialing Codes
- Ministries of Jordan
- Real Estate Agencies in Jordan
- Banks in Jordan
- Selected Restaurants in Jordan
- Car Rental in Jordan
- Cultural Centers in Jordan
- Hotels in Jordan
- Jordan Links
- About Dr. Najeeb Layyous
- Location Of Dr. Najeeb Layyous Clinic
- Gynaecological-Infertility free Consultation
- Contact Dr Najeeb Layyous Clinic
- Website Awards
- A Comprehensive History of Najeeb Layyous's Contributions to Gynecology, Obstetrics, and Infertility Treatment
- A Glimpse at Your Journey in Dr Najeeb Layyous Clinic
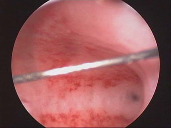
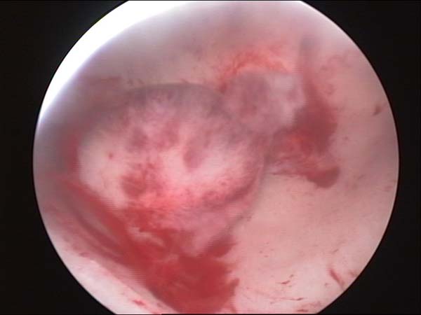
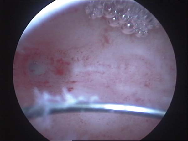
Hysteroscopy Pictures | Dr N Layyous
Last Update: 2021-04-08 01:16:57

Pregnancy Due Date Calculator
Chinese Gender Predictor
Ovulation Calculator
IVF Due Date Calculator
